後足の病気Hind leg disease

後足には、上に位置する関節から順に股関節、膝関節、足根関節の3つの関節があります。なかでも、ワンちゃんの跛行の約50パーセントは膝関節が原因で生じているといわれています。膝関節では特に前十字靭帯断裂症、膝蓋骨脱臼の発生が多いです。関節に発生した病気によって、関節内で炎症が起こり、痛みが生じます。痛みが生じると跛行するようになります。跛行が見られた場合、できるだけ早く診断し治療をおこなうことが重要です。

股関節

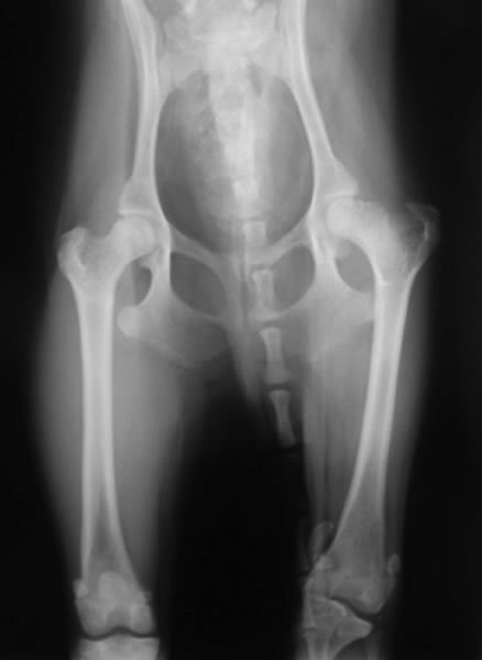
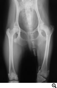
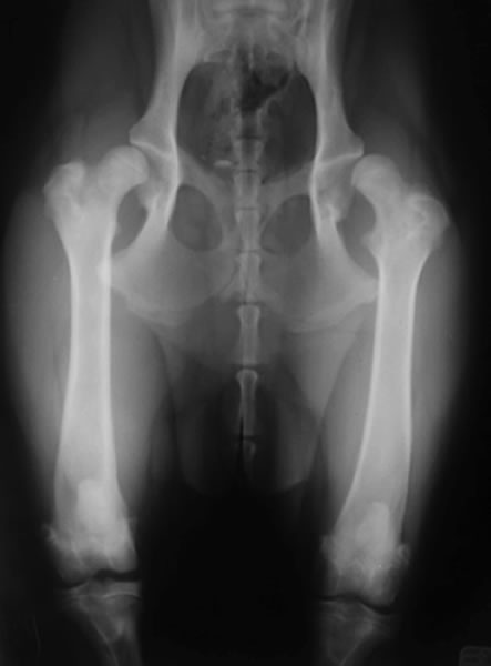
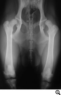
股関節形成不全症

症状:散歩や運動を嫌う、段差を嫌がる、立ち上がるのに時間がかかる、腰を左右に大きく振りながら歩く(モンローウォーク)、横座りをする、ウサギのように両後肢を一緒に動かして走るなどの症状が4ヶ月~1歳齢頃にでます

股関節形成不全症とは

成長過程で股関節(寛骨と大腿骨)の発育異常が生じ、股関節に緩みが引き起こされる疾患です。緩みのある不安定な股関節を動かすことで、関節の軟骨部分が損傷を受け関節炎がはじまります。関節炎による痛みから跛行を呈します。

好発犬種

ラブラドール、ゴールデン、バーニーズ、シェパード、ニューファンなどの大型~超大型犬で多い。柴犬、ポメラニアン、トイプードルなどの中型、小型犬でも起こります。

診断

触診、レントゲン検査

治療
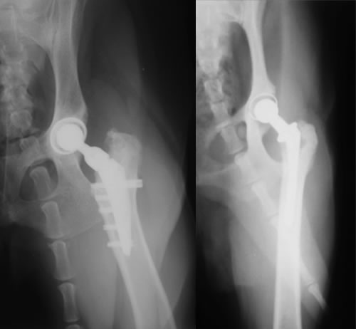
  • THR(Total Hip Replacement)/ 股関節全置換術
    Micro THR(Micro Total Hip Replacement)/ 小型犬・猫用股関節全置換術
  • DPO(Double Pelvic Osteotomy)/ 二点骨盤骨切り術
    TPO(Triple Pelvic Osteotomy)/ 三点骨盤骨切り術
  • FHO(Femoral Head Osteotomy)/ 骨頭切除術
  • JPS(Juvenile Pubic Symphysiodesis)/ 若齢期恥骨結合固定術

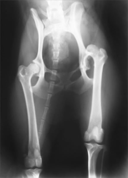
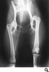
レッグペルテス / 大腿骨頭無菌性壊死症

症状:後肢跛行、後肢の筋肉が痩せる、四つ足で立っているときに患肢を挙上する、前足に体重をかけすぎ前につんのめる

レッグペルテス / 大腿骨頭無菌性壊死症とは

成長期に大腿骨頭への血液供給が不足することで大腿骨頭壊死が生じ、関節軟骨が消失することで痛みが引き起こされます。

好発犬種

ヨークシャテリア・トイプードル・チワワ等の小型犬種に好発する疾患です。膝蓋骨内方脱臼の好発犬種と類似しており、併発していることもよくあります。多くは5ヶ月〜11ヶ月齢で症状がでます。

診断

レントゲン検査

治療

後肢の跛行が成長期に起こる場合には要注意です。早期発見早期治療が重要です。

  • THR(Total Hip Replacement)/ 股関節全置換術
    Micro THR(Micro Total Hip Replacement)/ 小型犬・猫用股関節全置換術
  • FHO(Femoral Head Osteotomy)/ 骨頭切除術

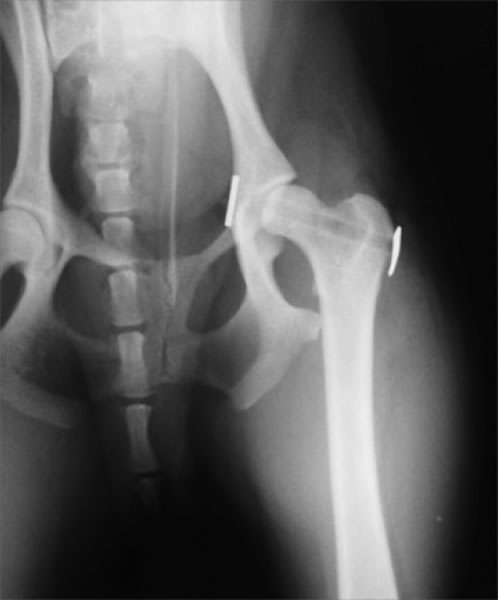
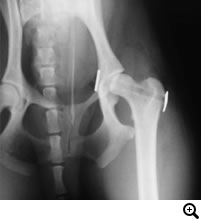
股関節脱臼

症状:後肢を完全に挙上し、体重をかけない

股関節脱臼とは

大腿骨頭をうける側の寛骨臼と大腿骨頭の間にある円靭帯が断裂し、股関節の関節包が破れることで、大腿骨が寛骨臼から逸脱します。股関節形成不全にともなうものと、交通事故や高い所から飛び降りるなどの外傷によるものがあります。

好発犬種

あらゆる犬で起こります。

診断

触診、レントゲン検査

治療

脱臼した原因により治療は異なります。非観血的な整復が適応でない場合は、外科的な整復が必要になります。

  • THR(Total Hip Replacement)/ 股関節全置換術
    Micro THR(Micro Total Hip Replacement)/ 小型犬・猫用股関節全置換術
  • DPO(Double Pelvic Osteotomy)/ 二点骨盤骨切り術
    TPO(Triple Pelvic Osteotomy)/ 三点骨盤骨切り術
  • FHO(Femoral Head Osteotomy)/ 骨頭切除術
  • Knowles pin 法(ノールスピン法)

股関節疾患の治療法

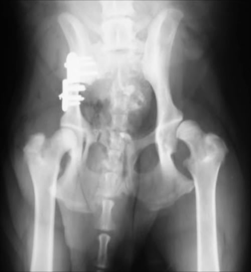
THR(Total Hip Replacement)/ 股関節全置換術
Micro THR(Micro Total Hip Replacement)/ 小型犬・猫用股関節全置換術

全股関節置換術は股関節形成不全やその他の股関節の異常(レッグペルテス、骨頭骨折等)に対して行われる根治的治療法で、機能の回復に関しては現在のところ最もすぐれた治療法です。機能しない、あるいは痛みを持つ股関節をチタンの人工関節に取り替える方法です。6カ月齢からあらゆる年齢で可能な手術です。

DPO(Double Pelvic Osteotomy)/ 二点骨盤骨切り術
TPO(Triple Pelvic Osteotomy)/ 三点骨盤骨切り術

5カ月齢~8カ月齢までの症例で有効な手術。腸骨・恥骨の二点もしくは腸骨・恥骨・坐骨の三点に骨切りをおこない、寛骨臼による大腿骨頭のカバーがよくなるよう腸骨を外側へ回転させる術式です

FHO(Femoral Head Osteotomy)/ 骨頭切除術

大腿骨頭を切除することで、寛骨臼と軟骨が損傷した大腿骨頭の直接的な接触をなくし痛みを取り除く方法です。何らかの原因でその他THR・DPO・TPOの手術ができない場合、保存的療法に反応しない場合、救済的な手術としておこないます。骨頭を切除した関節周囲に線維性偽関節が形成されるまで、不安定になるため、患肢を着地し負重するようになるまである程度の期間を要します。歩様が改善されるまで、リハビリテーションを行いながらサポートをいたします。

JPS(Juvenile Pubic Symphysiodesis)/ 若齢期恥骨結合固定術

股関節形成不全を発症する可能性がある幼弱犬におこなう予防的な手術。
12~18週齢で可能な手術。恥骨結合を電気的に焼灼することで骨の成長を停止させます。これにより、寛骨臼による大腿骨頭のカバーがよくなるよう骨盤の形状を変化することを期待して行う手術です。

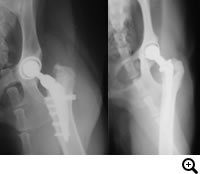
Knowles pin 法(ノールスピン法)

股関節脱臼整復のために行う術式。股関節を成り立たせている受け皿である寛骨臼と大腿骨頭、それらを繋いでいる円靭帯。股関節脱臼の際にはこの円靭帯が完全に断裂しているため、一時的にその代わりとなる合成靭帯を寛骨臼の腹側に取り付けたノールスピンと大腿骨頭に通し、脱臼した骨頭を寛骨臼におさめ固定する方法。

膝関節

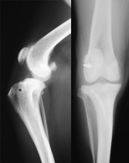
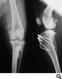
膝蓋骨脱臼グレード2〜3

症状:患肢を曲げたまま数歩歩く、歩き始めにスキップをする、脱臼した膝蓋骨を元に戻そうとして後肢を伸展させてケンケンする

膝蓋骨脱臼グレード2〜3とは

膝蓋骨が大腿骨遠位にある滑車溝から内方もしくは外方に脱臼する疾患です。膝蓋骨外方脱臼の症例では、内方脱臼よりも強い症状を呈することが多いです。
グレード2とは、膝蓋骨を指で押すと簡単に脱臼しますが、指を離しても自然には元に戻らない状態です。日常生活の中で自然に脱臼することがあり、元に戻ると跛行がおさまります。
グレード3とは、普段から膝蓋骨が脱臼したままで、指で押すと正常な位置に戻りますが、指を離すと脱臼した位置にもどる状態です。
若い時期にみられた場合は放置しておくとグレード4にいたる可能性があること、何らかの症状があり日常生活の中で脱臼している場合は膝蓋骨内側の軟骨がすり減り、痛みが強くなるなどの理由から手術による整復を必要とします。

好発犬種

70〜80%は内方脱臼で、多くはトイプードルやチワワ、ポメラニアン等の小型犬。大型犬でも起こります。外方脱臼はラブラドール、ゴールデン等の大型犬で多いですが、小型犬でも起こります。

診断

触診、レントゲン検査

治療

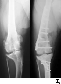
外科手術。おもに、Block Resectionという関節軟骨を温存したまま膝蓋骨がおさまっている溝を深くする方法と、脛骨粗面転移術といい内側に変位している膝蓋靭帯の付着部である脛骨粗面の位置を正しい位置にもどす方法とを組み合わせて行います。

膝蓋骨脱臼グレード4

症状:グレード4になると、重度の跛行を呈することが多くなります。

膝蓋骨脱臼グレード4とは

成長期に膝蓋骨が大腿骨遠位にある滑車溝から脱臼し、大腿骨や脛骨の変形が急速に進行し、膝蓋骨が脱臼し固定されている状態。指で脱臼をなおそうとしても戻らない状態。

好発犬種

トイプードル、チワワ、ポメラニアン、柴犬など

診断

触診、レントゲン検査

治療

外科手術が適応であれば、Block Resectionによる造溝術と脛骨粗面転移術に加え、必要に応じて変形した大腿骨を矯正する骨切り術を同時におこない、膝蓋骨が正しい位置におさまるようアライメントをただします。

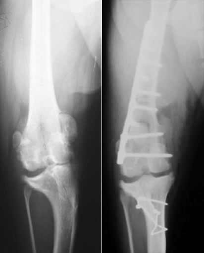
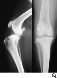
前十字靭帯断裂(中型犬・大型犬・超大型犬)

症状:グレード4になると、重度の跛行を呈することが多くなります。

膝蓋骨脱臼グレード4とは

成長期に膝蓋骨が大腿骨遠位にある滑車溝から脱臼し、大腿骨や脛骨の変形が急速に進行し、膝蓋骨が脱臼し固定されている状態。指で脱臼をなおそうとしても戻らない状態。

好発犬種

トイプードル、チワワ、ポメラニアン、柴犬など

診断

触診、レントゲン検査

治療

外科手術が適応であれば、Block Resectionによる造溝術と脛骨粗面転移術に加え、必要に応じて変形した大腿骨を矯正する骨切り術を同時におこない、膝蓋骨が正しい位置におさまるようアライメントをただします。

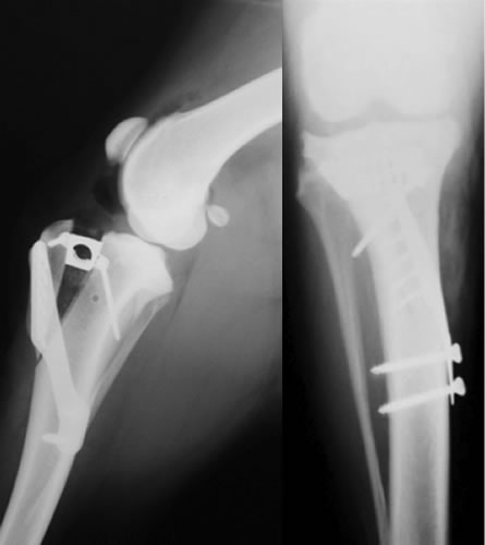
前十字靭帯断裂(小型犬)

症状:後肢の跛行や挙上、突然キャンと鳴いてから後肢をあげる

前十字靭帯断裂とは

膝関節の安定化を担っている前十字靱帯が断裂することにより、膝関節の不安定性が発現します。断裂した前十字靱帯の断端から炎症性のメディエーターが放出されるため、関節炎が起こります。

好発犬種

ヨークシャテリア、ポメラニアン、マルチーズ、チワワ、トイプードルなど。

診断

触診、レントゲン検査、関節鏡検査

治療

関節外制動法(Lateral Suture Stabilization)など。前十字靭帯と同様の働きをする位置に合成靭帯を設置し、膝関節を安定化させる手術法。

OCD(離断性骨軟骨症)

症状:通常4〜8カ月齢で後肢跛行を呈します。

OCD(離断性骨軟骨症)とは

大腿骨骨頭の関節軟骨が成長障害により厚みを増し、損傷を受けやすくなり、軟骨が浮きあがりはがれることで痛みを生じます。

好発犬種

バーニーズ、ゴールデン、ラブラドール、シェパードなど大型犬

診断

レントゲン検査、関節鏡検査

治療

OATS(自家骨軟骨移植)など。軟骨の欠損部に別の部位から採取した本人の正常な軟骨を移植し、関節面での接触を良くし、痛みを取り除きます。大型犬の成長期の跛行は消炎鎮痛剤等による対症療法ですませず、跛行原因の早期診断、早期治療が重要です。

足根関節

足根関節脱臼 / 不安定症

症状:後肢の跛行、足首の関節の腫れ・痛み

足根関節脱臼 / 不安定症とは

落下やジャンプに伴って起こる靭帯の損傷や免疫介在性関節炎、糖尿病・クッシング症候群など内科疾患に関連して起こる靭帯の変性などによって生じる足根関節の不安定性。

好発犬種

あらゆる犬種で起こる可能性があります。

診断

レントゲン検査など

治療

外科適応の場合は全関節固定術、部分関節固定術、スーチャーアンカー法などをおこない、足根関節を固定します。